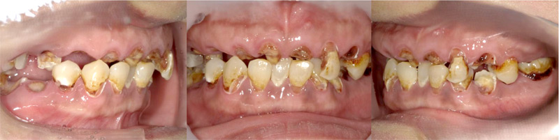
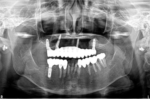
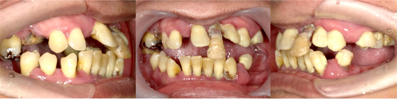
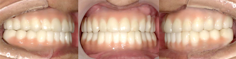
上顎、下顎のいずれか1列分の歯を、4本のインプラント体で固定する治療についての症例です。








施行名 : 審美歯科(虫歯などをインプラント体によって改善する施術)
副作用やリスク : 麻酔で腫れやむくみを生じる場合があります。
また、劣化や口内の手入れを怠ることにより脱落する場合があります。
施術の価格:8万〜90万(税抜き)
※個人差があり、効果を保障するものではありません
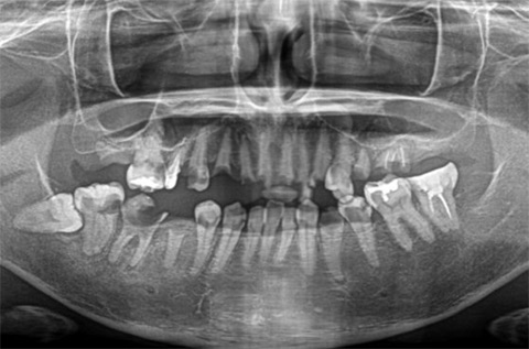
施行名 : 審美歯科(虫歯などをインプラント体によって改善する施術)
副作用やリスク : 麻酔で腫れやむくみを生じる場合があります。
また、劣化や口内の手入れを怠ることにより脱落する場合があります。
施術の価格:8万〜90万(税抜き)
※個人差があり、効果を保障するものではありません
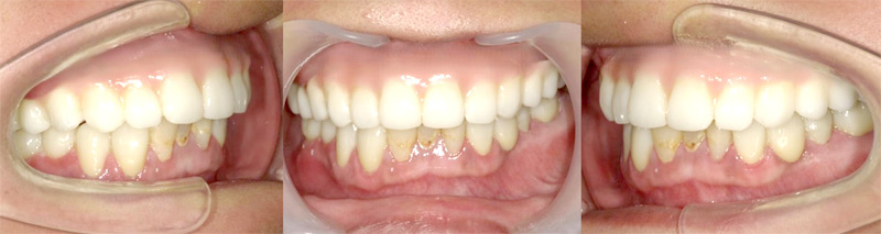
施行名 : 審美歯科(虫歯などをインプラント体によって改善する施術)
副作用やリスク : 麻酔で腫れやむくみを生じる場合があります。
また、劣化や口内の手入れを怠ることにより脱落する場合があります。
施術の価格:8万〜90万(税抜き)
※個人差があり、効果を保障するものではありません
Yokohama Altima Dental Office / SNS ACCOUNT
横浜アルティマ歯科では、LINEでの直接相談や
INSTAGRAM・YOUTUBE等のSNS・動画サイトにて症例をご紹介しています
ぜひご覧ください